Vaka 10: Sol İliak Kanat Yerleşimli Ewing Sarkom
- Gösterim: 100
ChatGPT:
Detaylı Hasta Bilgileri ve Tedavi Süreci
Hasta Bilgileri
- 22 yaş kadın hasta.
- Yurt dışında Ewing sarkom tanısıyla 6 kür kemoterapi görmüş.
- Taramalarında metastaz saptanmadı.
Uygulanan Tedavi
- Hastaya iliak kanat rezeksiyonu yapıldı.
- Rezeksiyon sonrası oluşan defekt vida/rod sistemi ve kemik çimentosu ile rekonstrükte edildi.
Sonuç
- Ameliyat sırasında ve sonrasında komplikasyon gelişmedi.
- Yara iyileşmesi tamamlandıktan sonra hastanın kemoterapi tedavisinin devamı için tıbbi onkolojiye yönlendirilmesi sağlandı.
Görsel Açıklamaları
Ameliyat Öncesi: Röntgende sol iliak kanatta yeniklik görülmekte. 
Ameliyat Öncesi: MR’da sol iliak kanat yerleşimli yumuşak dokuya uzanım gösteren büyük boyutlu tümör dokusu görülmekte.
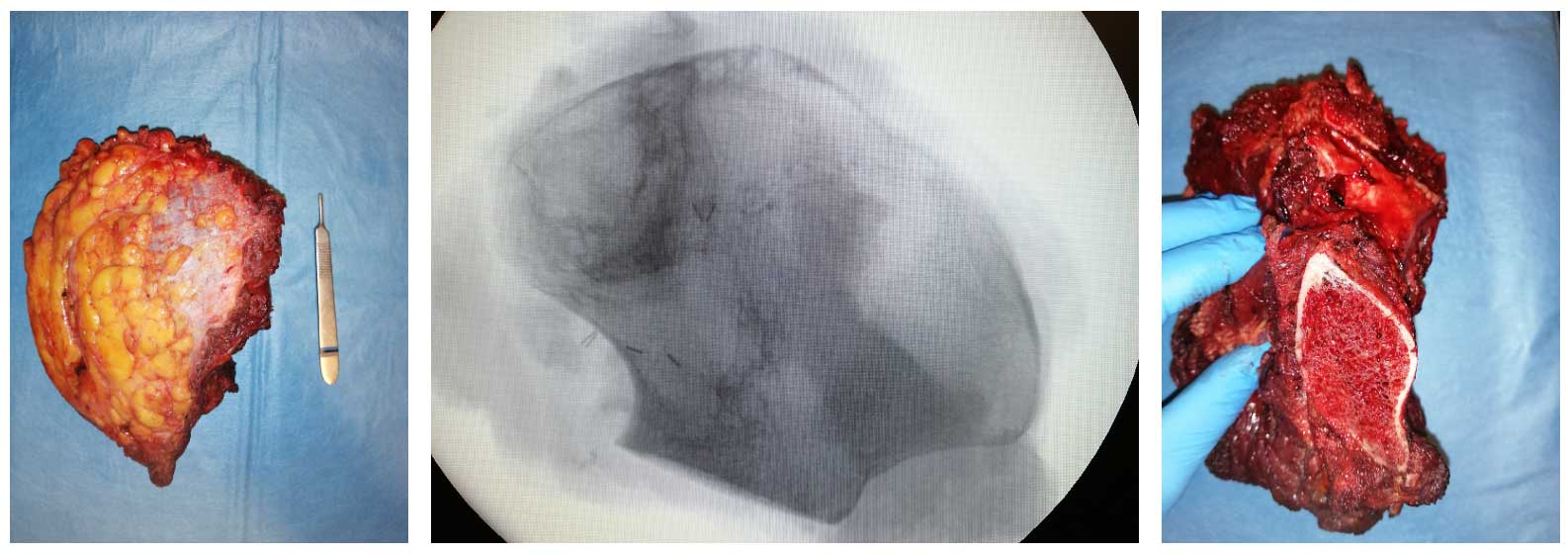
Ameliyat Esnası: Çıkarılan tümörün klinik ve radyolojik görüntüsü.


