Vaka 55: Akciğer Kanseri Fibula Metastazına Bağlı Patolojik Kırık ve Cerrahi Tedavi
- Gösterim: 252
ChatGPT:
Detaylı Hasta Bilgileri ve Tedavi Süreci
Hasta Bilgileri:
-
65 yaş erkek hasta
-
Akciğer kanseri nedeniyle aktif medikal tedavi görmekte
-
2 aydır artan sağ ayak bileği ağrısı ve şişlik
-
Yürüme güçlüğü mevcut
-
Görüntülemelerde yaygın metastaz saptandı
Tanı:
-
Sağ fibula: metastaz nedeniyle patolojik kırık riski
Uygulanan Tedavi:
-
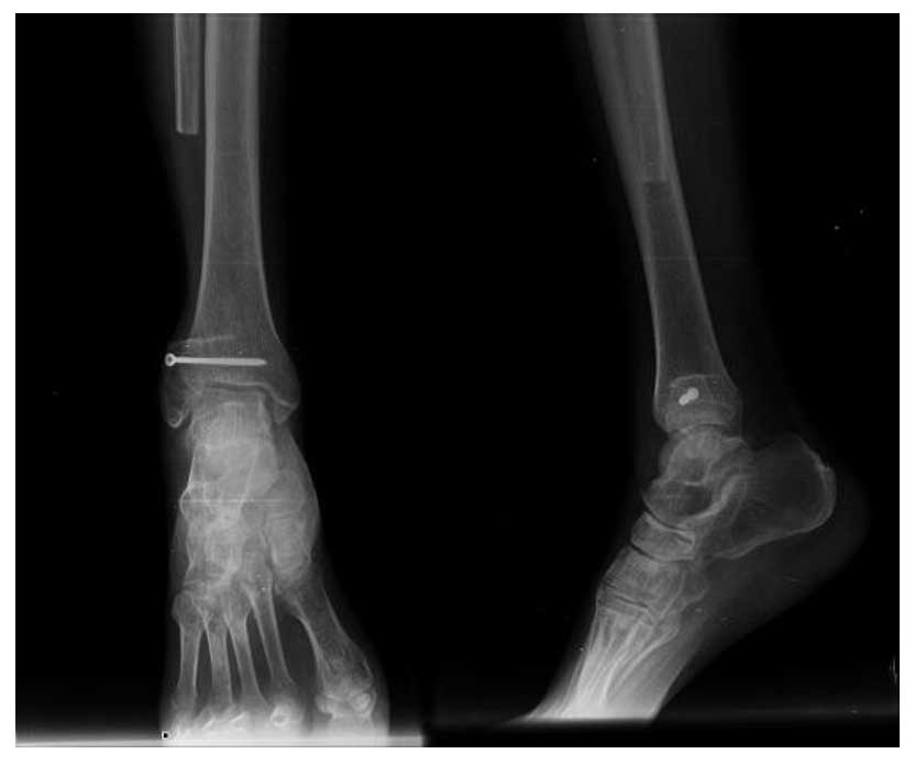
Fibula kemiğinin tümörlü kısmının çıkarılması
-
Ayak bileğinin bir vida ile stabilize edilmesi
-
Ameliyat başarıyla tamamlandı
Sonuç:
Ameliyat sonrası hasta sorunsuz şekilde taburcu edildi ve ayağa kalkarak güvenle yürütüldü.
Görsel Açıklamaları
Ameliyat Öncesi: Röntgende distal femurda litik lezyon, MR’da büyükçe yumuşak doku komponenti görülmekte

Ameliyat Sonrası: Röntgende distal fibula rezeksiyonu ve ayak bileğinin bir vida ile güçlendirilmesi görülmekte.


