Vaka 50: Gırtlak (Özefagus) Kanseri Proksimal Tibia Metastazına Bağlı Kırık Riski
- Gösterim: 165
ChatGPT:
Detaylı Hasta Bilgileri ve Tedavi Süreci
Hasta Bilgileri:
-
57 yaş erkek hasta
-
Özefagus kanseri nedeniyle aktif tedavi görmekte
-
Yaklaşık 2 aydır var olan bacak ağrısı zamanla artmış ve desteksiz yürüyememekte
-
Çoklu metastazları mevcut
-
Görüntülemelerde proksimal tibia metastazı saptanmış ve kırık riski yüksek
Tanı:
Proksimal tibia kemiğinde özefagus kanseri metastazına bağlı patolojik kırık riski
Uygulanan Tedavi:
Tümörlü bölge agresif küretaj ile temizlendi, oluşan boşluk kemik çimentosu ile dolduruldu ve anatomik plak ile güçlendirildi. Ameliyat başarıyla tamamlandı.
Sonuç:
Ameliyat sonrası hasta birinci günde güvenle yürütüldü ve sorunsuz taburcu edildi. İkinci haftada dikişleri alınarak, tamamlayıcı tedavi amacıyla radyoterapiye yönlendirildi.
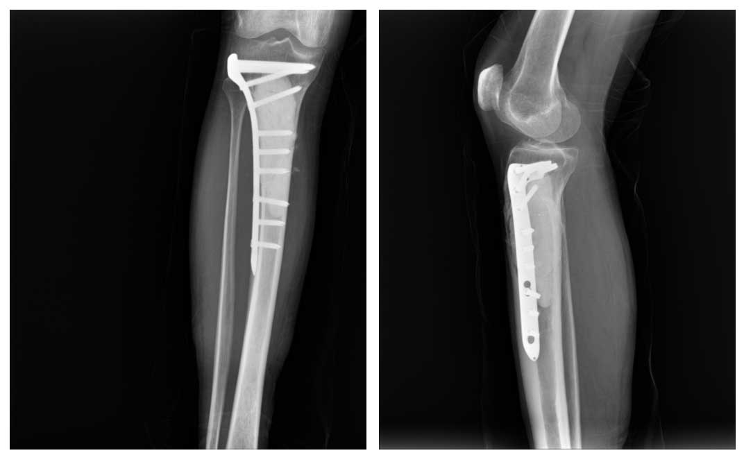
Görsel Açıklamaları
Ameliyat Öncesi: Röntgende tibia üst uçta metastaza bağlı kemik yıkımı ve kırık riski, MR’da tümörün kemiğin dışına çıktığı ve yaygın ödem varlığı görülmekte.

Ameliyat Sonrası: Tümörün temizlenip oluşan boşluğun kemik çimentosu ile doldurulması ve anatomik titanyum plak ile güçlendirilmesi görülmekte.


