Vaka 16: Böbrek Kanseri (Renal Hücreli) Leğen Kemiği (Pelvis) Metastazı
- Gösterim: 533
54 yaşındaki erkek hastada, böbrek kanseri kaynaklı pelvik metastaz nedeniyle kalça ağrısı ve yürüme güçlüğü gelişti. Radyoterapiden fayda görmeyen hastaya cerrahiyle tümör temizliği, kemik çimentosu dolgusu ve titanyum plak ile güçlendirme uygulandı. Hasta güvenle yürütülerek taburcu edildi.
- 54 yaş erkek hasta
- Böbrek kanseri nedeniyle ameliyat öyküsü var ve akıllı ilaç kullanmakta
- Bilinen kemik metastazları mevcut
- 5 aydır mevcut her iki kalça ağrısı zamanla artmış ve yürümekte güçlük çeker hale gelmiş.
- Radyoterapiden fayda görmeyen hastaya tümörün leğen kemiğinden temizlenmesi sonrası oluşan boşluğun kemik çimentosu ile doldurulması ve titanyum plak ile güçlendirilmesi işlemi başarı ile uygulandı
- Ameliyat esnası ve sonrasında sorun yaşanmayan hasta güvenli bir şekilde yürütülerek taburcu edildi.
Görsel Açıklamaları
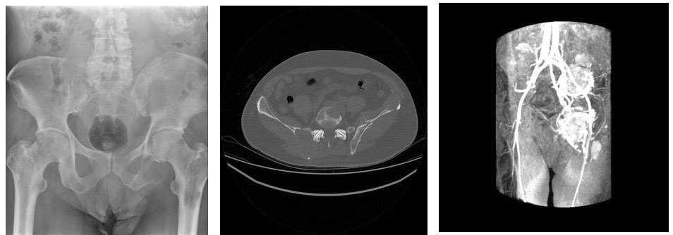
Ameliyat öncesi: Pelvis röntgeninde bir çok metastaz odağı, Tomografide ciddi harabiyet ve kırık, Anjiografide metastaz odaklarında yoğun kanlanma görülmekte

Ameliyat esnası: Tümörün temizlendikten sonra oluşan boşluğun kemik çimentosu ile doldurulması ve titanyum plak ile güçlendirilmesi görülmekte
Ameliyat sonrası: Tümörün temizlendikten sonra oluşan boşluğun kemik çimentosu ile doldurulması ve titanyum plak ile güçlendirilmesi ve yara iyileşmesi görülmekte


