Vaka 10: Sakroiliak Yerleşimli Kondrosarkom
- Gösterim: 459
46 yaşındaki erkek hasta, 5 aydır süren bel ağrısı ve oturma güçlüğü şikayetleriyle başvurdu. Sakroiliak bölgedeki kitleye yapılan biyopsi sonucu kondrosarkom tanısı kondu. Metastaz saptanmadı. Tümör temiz sınırlarla çıkarıldı, bölge rod ve vidalarla stabilize edilerek hasta takibe alındı.
- 46 yaş erkek
- 5 aydır mevcut bel bölgesinde ağrı ve şişlik zamanla artmış ve uzun süre oturmakta güçlük çekmekte
- Tomografi altında yapılan iğne biyopsisi sonucu kondrosarkom gelen hastanın taramalarında metastaz saptanmadı
- Tümör temiz sınırlar ile çıkarıldıktan sonra (Sakroiliak rezeksiyon) rod ve vidalar ile fiksasyon yapıldı
- Ameliyat esnası ve sonrasında sorun yaşanmayan hasta takip altına alındı
Görsel Açıklamaları
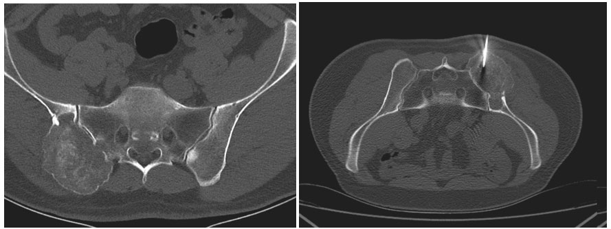
Ameliyat Öncesi: Tomografide sağ iliak kanat ve sakrum yerleşimli kemikte harabiyete neden olan tümör dokusu ve biyopsi iğnesi görülmekte

Ameliyat öncesi: MR’da aynı lokalizasyonda düzensiz sınırlı, yumuşak dokuya uzanım gösteren tümör dokusu görülmekte
Ameliyat esnası: İnsizyon hattının planlanması

Ameliyat esnası: Çıkarılan tümör dokusunun klinik ve radyolojik görüntüsü

Ameliyat esnası: Lomber ve sakral köklerin korunması ve tümör çıkarıldıktan sonra yapılan rekonstrüksiyon

Ameliyat sonrası: Sakroiliak rezeksiyon sonrası rod ve vidalar ile yapılan fiksasyon görülmekte


