VAKA 99: Ayak Taban Yerleşimli Nüks Snovyal Sarkom
- Gösterim: 106
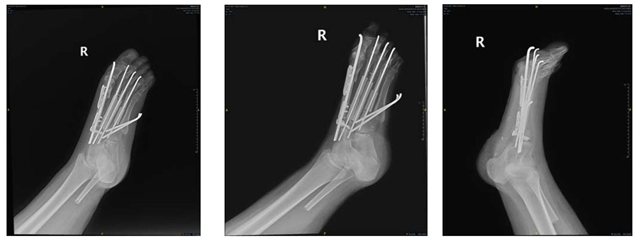
Ayak taban yerleşimli yumuşak doku sarkomu (Snovyal Sarkom) nedeniyle tekrarlayan ameliyat öyküsü olan ve nüks nedeniyle tarafımıza başvuran hastaya geniş rezeksiyon ile tümörün temiz sınırlar ile çıkarılması ve kendi fibulası ile rekonstrüksiyon ameliyatı uygulandı.
Ameliyat Öncesi: Röntgende özellik saptanmadı

Ameliyat Öncesi: MR’da ayak orta ve medial ağırlıklı düzensiz sınırlı yaygın heterojen yumuşak doku kitlesi görülmekte

Ameliyat Esnası: Eski insizyon hattını eksize edecek şekilde planlama yapılması ve tümör çıkarıldıktan sonra oluşan boşluğun fibula grefti ile rekonstrüksiyon yapılması görülmekte

Ameliyat Esnası: Çıkarılan tümör dokusunun klinik ve skopi görüntüsü görülmekte

Ameliyat Esnası: Tümör çıkarıldıktan sonra oluşan boşluğun fibula greftleri ile rekonstrüksiyonu görülmekte


