Vaka 14: Sakrum Yerleşimli Kordoma
- Gösterim: 510
72 yaşındaki kadın hasta, kuyruk sokumu ağrısı ve kabızlık şikayetleriyle başvurdu. Kapalı biyopsi ile kordoma tanısı kondu ve metastaz saptanmadı. Sakrektomi sonrası bölge prolen mesh ile örtüldü ve iki titanyum plakla sabitlendi. Hasta yakın takip ile izlendi.
- 72 yaş kadın hasta
- Bir yıldır mevcut kuyruk sokumu ağrısı ve kabızlık şikayetleri ile başvurdu
- Kapalı iğne biyopsi sonucu Kordoma gelen hastanın taramalarında metastaz saptanmadı
- Tümör temiz sınırlar ile çıkarıldıktan sonra fıtık olmaması için prolen mesh ile örtüm yapıldı ve iki adet titanyum plak ile fikasyon uygulandı.
Görsel Açıklamaları
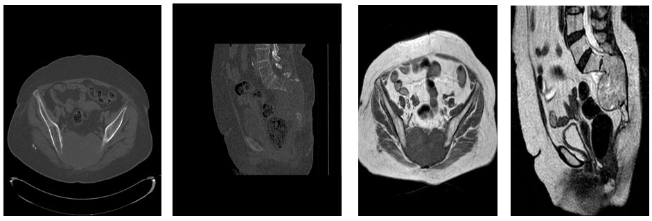
Ameliyat Öncesi: Tomografide ve MR’da sakrumda kemik harabiyeti ve rektuma dayanmış tümör dokusu görülmekte

Ameliyat Esnası: Tümörün tek parça halinde çıkarılması sonrası rektum ve sakral kökler, uygulanan mesh ve titanyum plak görülmekte
Ameliyat Esnası: Çıkarılan tümörün klinik ve skopi görüntüsü

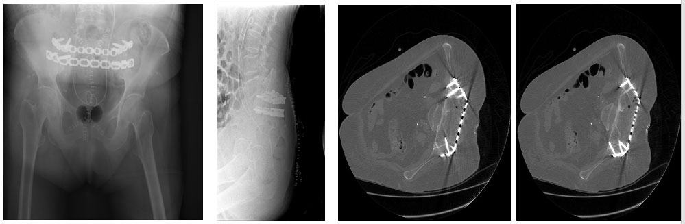
Ameliyat sonrası: Röntgen ve tomografide uygulanan titanyum plak görülmekte


