Vaka 49: Akciğer Kanseri Sol Tibia Üst Uç Metastazına Bağlı Kırık Riski
- Gösterim: 167
ChatGPT:
Detaylı Hasta Bilgileri ve Tedavi Süreci
Hasta Bilgileri:
57 yaş erkek hasta; akciğer kanseri nedeniyle ameliyat olmuş ve aktif tedavi görmektedir. Bilinen metastazları mevcut olup, yaklaşık 2.5 aydır sol diz altında giderek artan ağrı ve şişlik şikayetleri ile başvurdu. Ağrı istirahatte de devam etmekteydi ve hasta desteksiz yürüyememekteydi.
Tanı:
Görüntülemelerde sol tibia (kaval kemiği) üst uçta akciğer kanseri metastazına bağlı belirgin kemik zayıflığı saptandı ve patolojik kırık riski yüksek olarak değerlendirildi.
Uygulanan Tedavi:
Kemiğin metastatik tümörlü kısmı cerrahi olarak çıkarıldı. Oluşan boşluk kemik çimentosu ve teller ile dolduruldu. Bölge, dayanımı artırmak için titanyum anatomik plak ile güçlendirildi. Ameliyat başarıyla tamamlandı.
Sonuç:
Ameliyat sırasında ve sonrasında herhangi bir sorun gelişmeyen hasta güvenli bir şekilde bastırılıp yürütüldü ve taburcu edildi. İkinci haftada dikişleri alınan hasta, tamamlayıcı tedavi amacıyla radyoterapiye yönlendirildi.
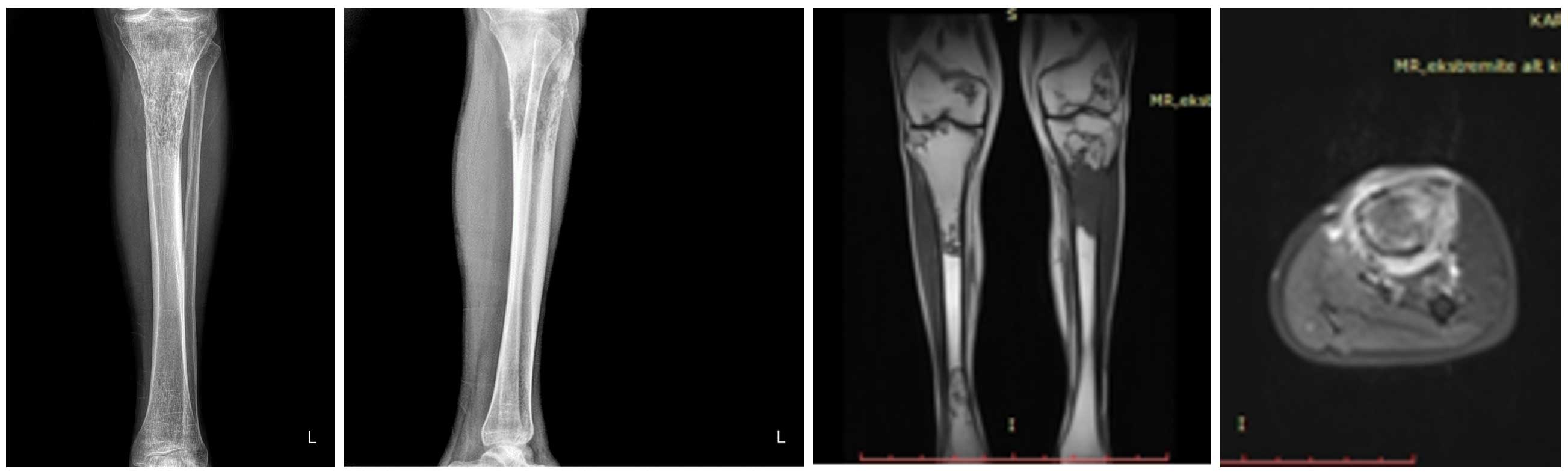
Görsel Açıklamaları
Ameliyat Öncesi: Röntgende sol tibia üst uçta kemikte harabiyet ve ayrışmamış kırık, MR’da aynı bölgede tümör dokusu ve çevreleyen ödem görülmekte.

Ameliyat Esnası: Kemiğin tümörlü kısmının çıkarılması, oluşan boşluğun teller ve kemik çimentosu ile doldurulması ve titanyum plak uygulaması görülmekte.

Ameliyat Sonrası: Kemiğin tümörlü kısmının çıkarılması sonrası oluşan boşluğun teller ve kemik çimentosu ile doldurulması ve titanyum plak uygulaması görülmekte.


