Vaka 44: Akciğer Kanseri Sol Uyluk (Femur) Alt Uç Metastazı
- Gösterim: 299
ChatGPT:
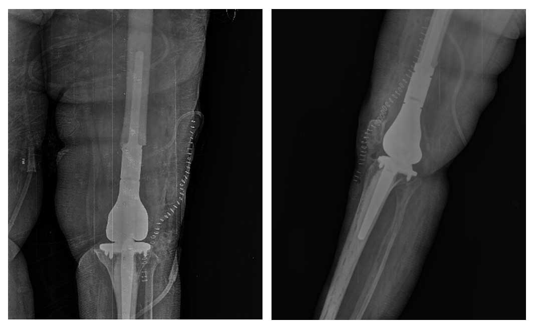
Görsel Açıklamaları

Ameliyat Öncesi: Röntgen ve tomografi kesitlerinde metastaza bağlı yeniklikler ve ciddi harabiyet, MR’da uyluk kemiği alt kısmını dolduran ve kemiğin dışına taşan tümör dokusuna eşlik eden çevreleyen ödem görünmekte.

Ameliyat Sonrası: Röntgende çimentolu distal femur tümör protezi uygulanımı görülmekte.

