Vaka 07: İliak Kanat Yerleşimli Ewing Sarkom
- Gösterim: 115
ChatGPT:
Detaylı Hasta Bilgileri ve Tedavi Süreci
Hasta Bilgileri
- 16 yaş erkek hasta.
- Yurt dışında sol iliak kanat yerleşimli Ewing sarkom tanısıyla kemoterapi tedavisi uygulanmış.
- Taramalarında metastaz saptanmadı.
Uygulanan Tedavi
- Hastaya sol internal hemipelvektomi ve Girdlestone işlemi uygulandı.
Sonuç
- Cerrahi sonrası hasta takip altına alındı.
Görsel Açıklamaları
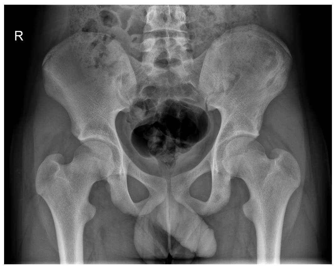
Ameliyat Öncesi: Sol iliak kanat üzerinde düzensizlik görülmekte.
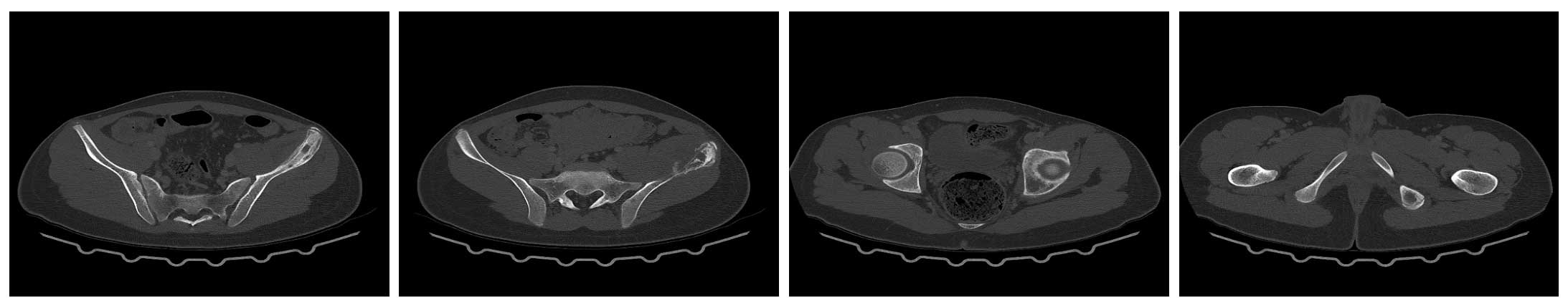
Ameliyat Öncesi: Tomografide periost reaksiyonu ve harabiyet görülmekte.
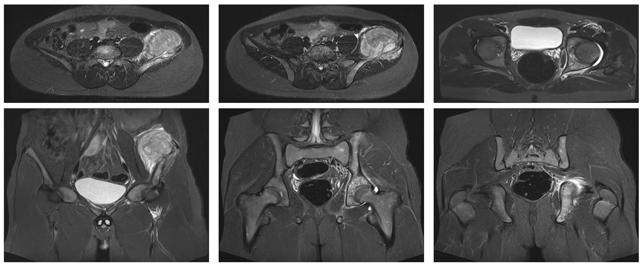
Ameliyat Öncesi: MR’da sol iliak kanatın tamamını içeren yumuşak doku kitlesinin eşlik ettiği tümör dokusu görülmekte.

Ameliyat Esnası: İnsizyon hattının planlanması ve nörovasküler yapılarının ortaya konup korunmaya alınması.

Ameliyat Esnası: Rezeksiyon dokusunun klinik ve skopi görüntüsü.

Ameliyat Sonrası: İnternal hemipelvektomi sonrası girdlestone işlemi görülmekte.


