Vaka 32: Torokal Vertebra Nüks Osteosarkom
- Gösterim: 803
25 yaşındaki kadın hastamız, daha önce üç kez ameliyat edilmiş ve kemoterapi görmüştü. Başvuru sırasında bacaklarında tam felç (parapleji) gelişmişti. Metastazı olmadığı için çoklu disiplin yaklaşımıyla yapılan en blok korpektomi ve rekonstrüksiyon sonrası hastanın omurgası yeniden yapılandırıldı.
Detaylı Hasta Bilgileri ve Tedavi Süreci
Hasta Bilgileri:
-
25 yaş, kadın
-
2021’de ilk, 2022’de ikinci, 2023’te üçüncü operasyon hikayesi mevcut
-
6 kür kemoterapi almış
-
Taramalarda metastaz saptanmamış
Başvuru Şikayetleri:
-
Bacaklarda tam felç (parapleji)
-
Yürüyememe
Tanı ve Bulgular:
-
Torakal vertebra yerleşimli nüks osteosarkom
-
Mevcut parapleji tablosu
Uygulanan Tedavi:
-
Kalp damar cerrahisi, göğüs cerrahisi ve omurga cerrahisi iş birliği ile çoklu seviye en blok korpektomi
-
Oluşan boşluğun fibula + titanyum cage ile yeniden yapılandırılması
-
Posterior enstrümentasyon ile omurganın güçlendirilmesi
Sonuç:
Ameliyat esnası ve sonrasında komplikasyon gelişmedi. Yara iyileşmesini takiben hasta ileri tedavi için tıbbi onkolojiye yönlendirildi.
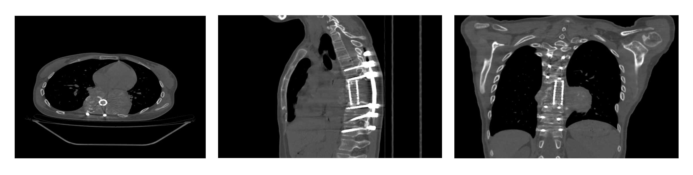
Ameliyat Öncesi: Tomografi kesitlerinde daha önce uygulanan kafes ve enstrümentasyon ile birlikte tümör nüksü görülmekte.

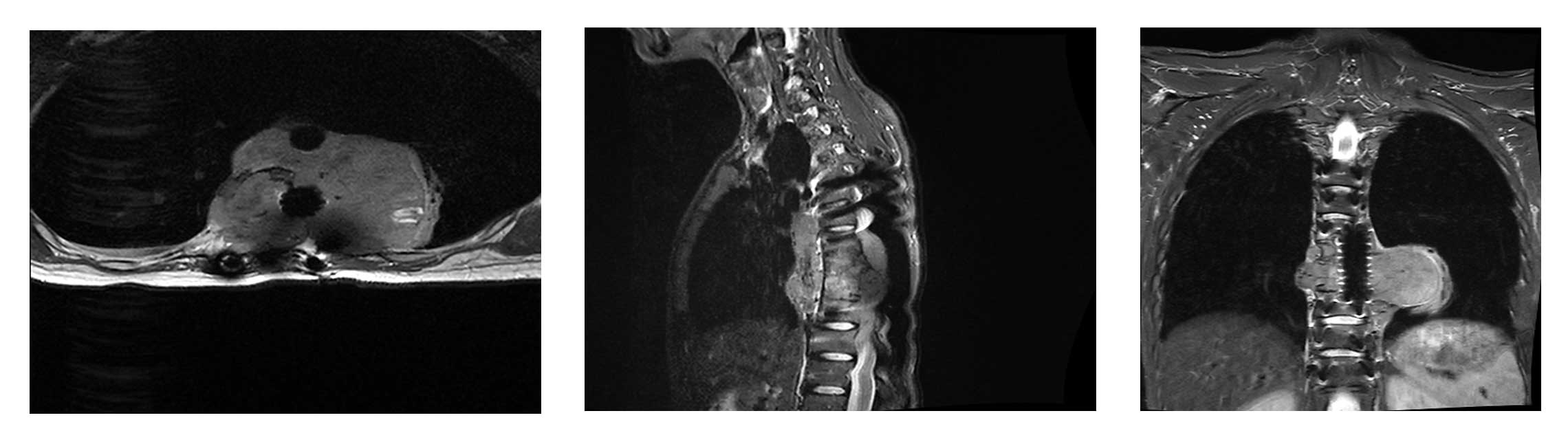
Ameliyat Öncesi: MR’da büyük boyutta tümör nüksü görülmekte.
Ameliyat Öncesi: MR’da büyük boyutta tümör nüksü görülmekte.

Ameliyat Esnas: Korpektomi sonrası fibula, cage ve enstrümentasyon uygulaması ve yaranın kapatılması görülmekte.

Ameliyat Esnası: Çıkarılan omurgaların klinik ve skopi görüntüleri.

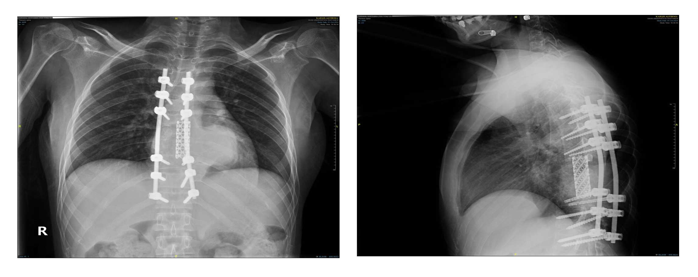
Ameliyat Sonrası: Röntgende korpektomi sonrası fibula, cage ve enstrümentasyon uygulaması görülmekte.



