Vaka 31: Diz (Distal Femur) Yerleşimli Osteosarkom
- Gösterim: 393
Genç kadın hastamızda distal femur yerleşimli osteosarkom tanısı sonrasında uygulanan kemoterapi ve cerrahi tedavi ile hem tümörün tamamen çıkarılması hem de diz eklem fonksiyonlarının korunması sağlanmıştır.
Hasta Bilgileri:
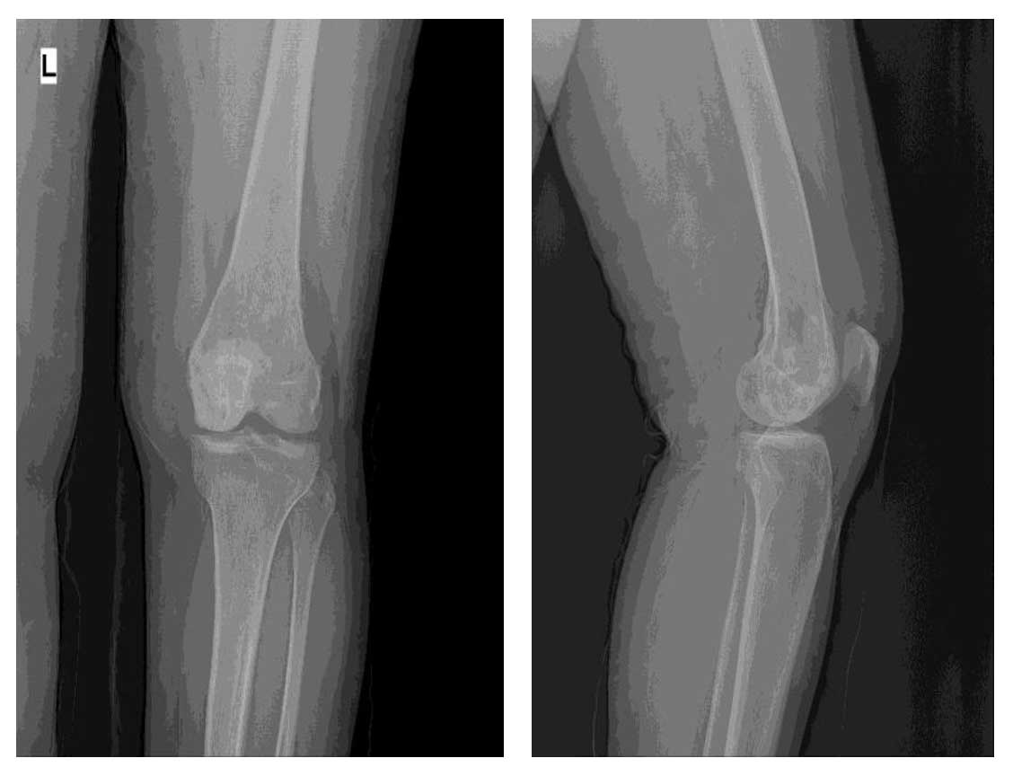
Genç kadın hasta, sol diz çevresinde ağrı ve şişlik şikayetleriyle başvurdu. Yapılan tetkikler sonucunda distal femurda osteosarkom saptandı.
Tedavi:
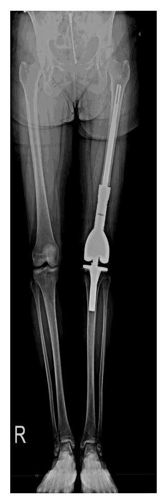
Hastaya kemoterapi sonrasında geniş rezeksiyon uygulanarak tümörlü bölge tamamen çıkarıldı. Eksize edilen kemik bölgesi distal femur tümör protezi ile rekonstrükte edilerek diz ekleminin stabilitesi ve fonksiyonu korundu.
Sonuç:
Ameliyat sonrası iyileşme süreci sorunsuz ilerledi. Hastanın yürüme fonksiyonu korunmuş olup, onkolojik takip ve fizik tedavi süreci planlanmıştır.
Görsel Açıklamaları
Ameliyat Öncesi: Röntgende distal femurda düzensizlik ve harabiyet görülmekte.

Ameliyat Öncesi: MR’da aynı lokalizasyonda kemiğin içini dolduran tümör dokusu ve çevreleyen ödem görülmekte.
Ameliyat Esnası: Rezeksiyon materyalinin klinik görüntüsü.

Ameliyat Sonrası: Röntgende rezeksiyon sonrası uygulanan distal femur tümör protezi görülmekte.


