Vaka 17: Rahim ağzı (Serviks) kanseri sol leğen kemiği (Sakroiliak eklem) metastazı

42 yaşındaki kadın hasta, serviks kanserine bağlı sakroiliak metastaz nedeniyle tekerlekli sandalye ile başvurdu. Tümörün damar, barsak ve idrar yolunu sardığı görüldü. Cerrahiyle tümör tek parça çıkarıldı, damar greftiyle kan akışı sağlandı. Üreter ve kolon karın ön duvarına yönlendirildi. Kemik rekonstrüksiyonu enfeksiyon riski nedeniyle yapılmadı.

  • 42 yaş kadın
  • Serviks kanseri nedeniyle ameliyat olmuş ve medikal tedavi uygulanmış
  • Sol sakroiliak metastaz nedeniyle radyoterapi görmüş fakat yeterli sonuç alınamamış
  • Hasta yürüyemediği için tekerlekli sandalye ile başvurdu ve oturmakta dahi güçlük çekmekteydi
  • Ameliyat esnasında sol bacağı besleyen ana damarların (Eksternal iliak arter ve ven) tıkalı, barsağın (Sigmoid kolon) ve idrar yolunun (Üreter) tümör tarafından açıldığı (invaze olduğu) yoğun enfeksiyon dokusu ile karşılaşıldı
  • Tümör tek parça halinde komşu kemik ve yumuşak dokuları ile birlikte çıkarıldıktan sonra (Sakroiliak rezeksiyon) üreter ve sigmoid kolon karın ön duvarından dışarıya alındı (kolostomize edildi). Ardından eksternal iliak arter ve ven tıkalı kısmı çıkarılarak sentetik greft ile yeniden kan akışı sağlandı. Yoğun enfeksiyon nedeniyle debritman ve yıkama yapılan hastaya kemik rekonstrüksiyonu uygulanmadı

 

Görsel Açıklamaları

 

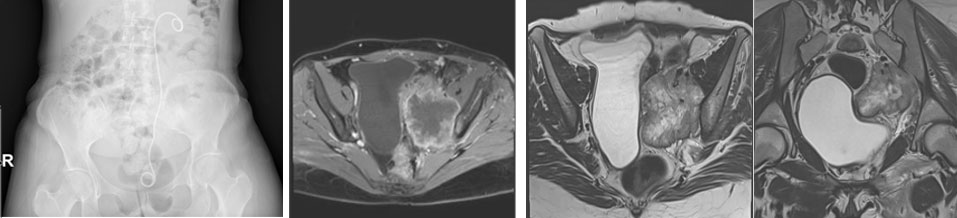
Ameliyat öncesi: Röntgende sol üreterde katater dışında anlamlı görüntü yok iken MR’da sol sakroiliak eklem seviyesinde düzensiz sınırlı içinde gaz gölgesi olan ve mesaneyi iten büyük yumuşak doku kitlesi görülmekte

Ameliyat öncesi: Röntgende sol üreterde katater dışında anlamlı görüntü yok iken MR’da sol sakroiliak eklem seviyesinde düzensiz sınırlı içinde gaz gölgesi olan ve mesaneyi iten büyük yumuşak doku kitlesi görülmekte

 

Ameliyat esnası: Tümörün sigmoid kolon, üreter ve iliak kanat invazyonu

Ameliyat esnası: Tümörün sigmoid kolon, üreter ve iliak kanat invazyonu 

 

Ameliyat esnası: Tümörle birlikte eksternal iliak arter ven’in rezeke edilmesi ve sentetik greft ile by-pass uygulanması

Ameliyat esnası: Tümörle birlikte eksternal iliak arter ven’in rezeke edilmesi ve sentetik greft ile by-pass uygulanması

 

Ameliyat esnası: Kemik kesilerinin yapılması ve çıkarılan tümör dokusunun skopi görüntüsü

Ameliyat esnası: Kemik kesilerinin yapılması ve çıkarılan tümör dokusunun skopi görüntüsü

 

Ameliyat sonrası: Röntgende ol sakroiliak rezeksiyon görülmekte

Ameliyat sonrası: Röntgende ol sakroiliak rezeksiyon görülmekte


Blog Yazılarımız

İletişim Bilgileri

Türkçe, English, Русский, O‘zbekcha

Adres

Teşvikiye Mah. Hakkı Yeten Cad.
Doğu İş Merkezi , No:15 Kat:7
Şişli, İstanbul
34365

Bir "TIK" Yakındayız

Please publish modules in offcanvas position.