CASE 9: Lung cancer increases the risk of fracture due to metastasis to the humerus (upper arm bone).
- Hits: 60
- 63-year-old male patient
- He is undergoing active treatment for lung cancer and has known metastases.
- Radiotherapy was applied due to metastasis to the right distal humerus, but satisfactory results were not obtained.
- The patient is experiencing sleep problems due to severe pain and has difficulty using their arm.
- After the cancerous portion of the bone was removed, a prosthesis was implanted.

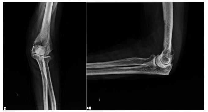
Before the surgery: The X-ray shows an irregularity at the lower end of the humerus.

Before the surgery: The MRI shows significant damage in the same area and widespread surrounding edema.

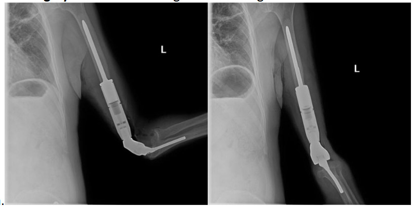
Post-surgery: The X-ray shows the implantation of a cemented distal humerus prosthesis.

