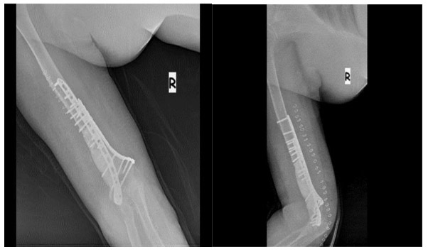
CASE 8: Risk of fracture due to metastasis of stomach cancer to the right arm bone (humerus).
- Hits: 27

Before surgery: X-ray shows bone destruction in the lower outer portion of the right humerus, and MRI reveals a large tumor mass extending beyond the bone.

Post-surgery: The X-ray shows that after the tumor was removed, the resulting cavity was filled with bone cement and reinforced with two titanium plates.

