CASE 24: Breast cancer metastasis to the hip (femur head and neck)
- Hits: 55

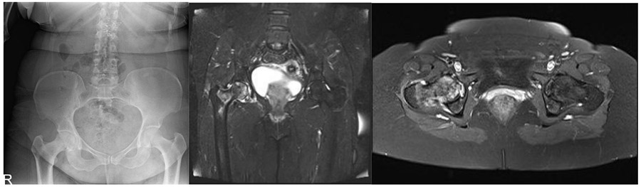
Before the surgery: X-ray shows irregularity and increased density in the head-neck space of the right femur, and MRI shows involvement, damage, and increased fluid in the joint at the head-neck level of the right femur.

Post-surgery: The X-ray shows a complete uncemented hip replacement on the right side.

