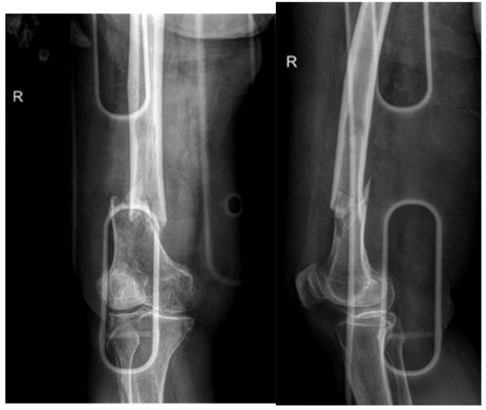
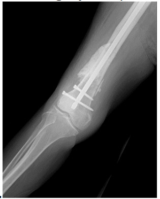
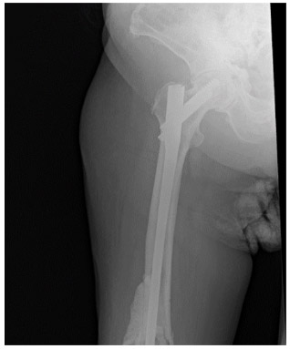
CASE 42: Lung cancer metastasis to the right femur caused a fracture.
- Hits: 36

Before the surgery: X-ray shows a lytic lesion and displaced fracture in the distal end of the right femur.


Post-surgery: The X-ray shows the application of bone cement and nails to the site of the removed metastatic focus.

