CASE 50: Laryngeal (Esophageal) cancer metastasis to the tibia
- Hits: 23

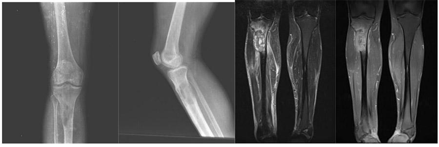
Before the surgery: X-ray shows bone destruction and risk of fracture due to metastasis at the upper end of the tibia, and MRI shows the tumor extending outside the bone and widespread edema.

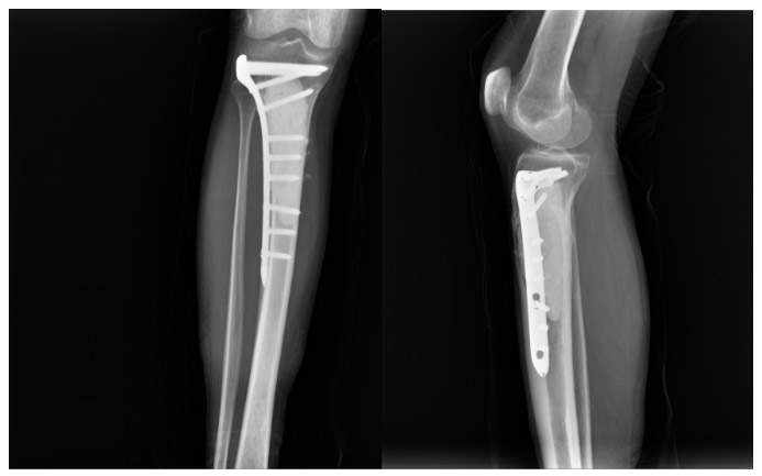
Post-surgery: The procedure involves removing the tumor, filling the resulting cavity with bone cement, and reinforcing it with an anatomical titanium plate.

