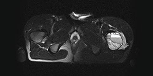
The pelvis is a ring-shaped flat bone with a unique anatomy, often referred to as the hip bone, composed of the iliac wing, acetabulum, and pubic rami.
SACRAL TUMORS AND SACRECTOMY
- Hits: 599
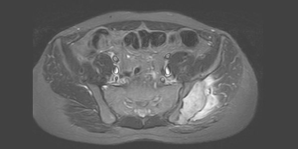
The sacrum is a special bone composed of five distinct bones (S1-5) with a unique anatomical structure that provides the connection between the spine and the pelvis, housing the sacral nerve roots (S1-4).
Spinal metastasis is the spread of cancer from internal organs to the spinal bones, often causing back pain and other symptoms. Early diagnosis and tailored treatments are crucial for enhancing the quality of life and managing symptoms effectively.
Undifferentiated pleomorphic sarcoma is the most common malignant soft tissue tumor. It is also known as malignant fibrous histiocytoma. The exact cause and tissue of origin are unknown.
KAPOSI'S SARCOMA
- Hits: 2540
Kaposi's sarcoma is a rare malignant skin tumor of vascular (lymph or blood) origin. There are five different types: classical, endemic (African type), epidemic (associated with AIDS), iatrogenic (in transplant patients), and non-epidemic gay-related Kaposi's sarcoma.
LEIOMYOSARCOMA
- Hits: 2387
Leiomyosarcoma is a rare high-grade malignant soft tissue tumor of smooth muscle origin. Leiomyosarcoma can occur in a wide range of ages, but most commonly in middle-aged women.
LIPOSARCOMA
- Hits: 3346
Liposarcoma is the second most common malignant soft tissue tumor. The exact cause is unknown, but it originates from fatty tissue.
MALIGNANT PERIPHERAL NERVE SHEATH TUMOR
- Hits: 1539
Malignant peripheral nerve sheath tumor is a very rare malignant soft tissue tumor. Malignant peripheral nerve sheath tumors can occur at different ages, but most commonly occur after the age of 40.
RHABDOMYOSARCOMA
- Hits: 2304
Rhabdomyosarcoma is the most common malignant soft tissue tumor in children. It is less common in adults.
SYNOVIAL SARCOMA
- Hits: 5832
Synovial sarcoma is a rare high-grade malignant soft tissue tumor. Although synovial sarcoma can be seen in many different age groups, unlike other soft tissue sarcomas, it often occurs in young adults (15-35 years).
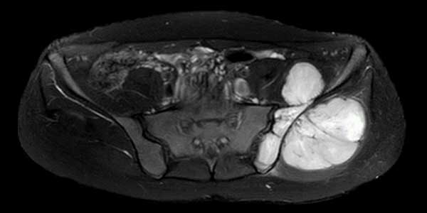
Soft tissue sarcomas are much less common than benign soft tissue tumors. The incidence of malignant soft tissue tumors has been reported to be 15-35 per million and they account for 1-2% of all cancers.
FIBROSARCOMA - MYXOFIBROSARCOMA
- Hits: 4942
Fibrosarcoma and myxofibrosarcoma are rare high-grade malignant soft tissue tumors with similar characteristics.
EPITHELIOID SARCOMA
- Hits: 8788
Epithelioid sarcoma is a very rare (less than 1% of all soft tissue sarcomas) malignant soft tissue tumor. Epithelioid sarcoma most commonly affects young adults (20-40 years old) and is slightly more common in men.
CLEAR CELL SARCOMA
- Hits: 3760
Clear cell sarcoma is a rare malignant soft tissue tumor. Unlike other soft tissue sarcomas, clear cell sarcoma often occurs in young patients and around the joints (knee, foot, and ankle).
It is a rare (1-2% of all soft tissue sarcomas) malignant soft tissue tumor that arises from cells in the blood vessel wall (endothelium). It is also known as hemangiosarcoma and malignant hemangioendothelioma. It can occur in blood and lymph vessels.
ADAMANTINOMA
- Hits: 2815
It is a rare malignant tumor of bone (less than 1% of malignant tumors of bone origin). It is a low-grade, slow-growing tumor that rarely metastasizes to other organs (especially the lungs).
DESMOID TUMOR - AGGRESSIVE FIBROMATOSIS
- Hits: 2492
It is also called aggressive fibromatosis. The exact cause is unknown, but in some cases it has been associated with estrogen and trauma. Genetic background (familial adenomatous polyposis, Gardner syndrome) may be associated. Patients should be screened for this (family history of colon cancer) and colonoscopy should be performed in appropriate cases.
It is a benign but locally aggressive tumor. In other words, it can cause bone and joint destruction in the area where it is located and has a high risk of recurrence after surgery.
EWING SARCOMA
- Hits: 5054
Ewing sarcoma is a small round cell malignant tumor of bone. It occurs in 3-4 patients per million per year. Ewing sarcoma often occurs in young patients (<20 years) and is most commonly found in the diaphysis of long bones (femur, humerus, etc.), pelvis, and scapula.
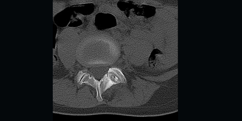
CHORDOMA
- Hits: 1614
Chordoma is a malignant and slowly progressive tumor that develops from the notochord remnants of the bone. Chordoma usually occurs after the age of 40. There is no gender difference. It is located in the spine, most commonly in the neck (cervical vertebrae) and coccyx (sacrum).
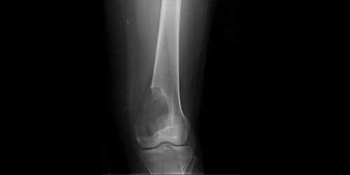
OSTEOSARCOMA
- Hits: 3610
Osteosarcoma is the second most common cancer of the bone. It occurs in 4-6 patients per million each year.
CHONDROSARCOMA
- Hits: 2844
Chondrosarcoma is a malignant tumor of the bone that originates from cartilage tissue. Chondrosarcoma usually occurs after the age of 40 and is more common in men.
BONE METASTASIS
- Hits: 3219
Bone metastases is the spread of cancer from the organ of origin to the bone via the immediate environment, blood (often), or lymph. Venous Tumors/Metastases is more common than arterial Tumors/Metastases. Breast, prostate, and testicular Tumors/Metastases mostly spread by lymphatic route.
POST-RADIATION SARCOMA
- Hits: 3641
Post-radiation sarcoma is a late complication of radiation therapy. Although radiation therapy is used to treat many cancers, radiation-induced cancer is very rare.
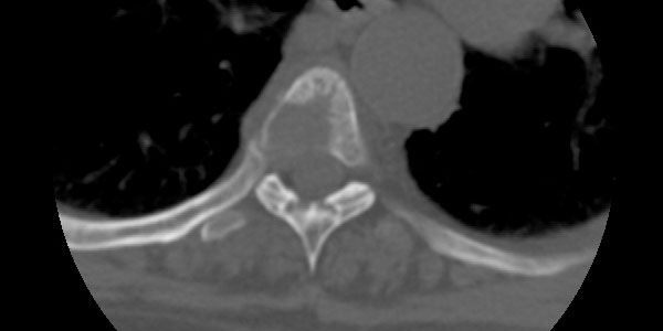
SPINE-VERTEBRAE TUMORS
- Hits: 1171
Tumors of the spine (vertebrae) can be defined in several ways. First, it is necessary to distinguish between tumors of the vertebral bone and tumors of the spinal cord. Here we will talk about tumors of the vertebral bone.
ANEURYSMAL BONE CYST
- Hits: 2856
An aneurysmal bone cyst is not a real tumour. A bone cyst is an aggressive lesion. In other words, it can damage the bone and may come back after surgery.
GIANT CELL TUMOR OF BONE – OSTEOCLASTOMA
- Hits: 3443
The exact cause is unknown and it is also called osteoclastoma. It is a benign but aggressive tumor of the bone. What is meant by aggressive is that it causes destruction in the bone and tends to come back after surgery.
CHONDROBLASTOMA-CODMAN’S TUMOR
- Hits: 3745
Chondroblastonm is a rare benign bone tumor of cartilage origin. Also known as Codman’s tumor. The most common age of chondroblastoma is between 10-30 years and it is more common in males (3/2).
OSTEOBLASTOMA
- Hits: 2266
Osteoblastoma is a benign but locally aggressive tumor. In other words, it can damage the bone and can come back after surgery.
Address
Teşvikiye Mah. Hakkı Yeten Cad.
Doğu İş Merkezi , No:15 Kat:7
Şişli, İstanbul
- Need help? Let's Chat
- Medical Coordinator English, Russian, Uzbek, Türkçe Online
English, Russian, Uzbek, Türkçe
Medical Coordinator
Is there anything I can help you with?.
09.00
