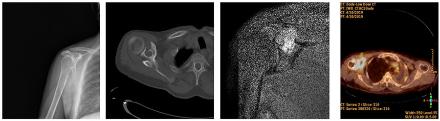
CASE 1: Lung cancer increases the risk of fracture in the right shoulder blade (scapula) due to metastasis.
- Hits: 154

Before the surgery: While no significant problems are visible on X-ray, CT scans show bone damage, MRI reveals tumor tissue extending beyond the bone, and PET scans show significantly increased tumor activity.

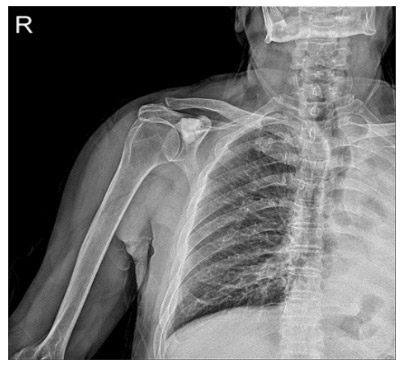
Post-surgery: The X-ray shows that the cavity created after tumor removal has been filled with bone cement.

