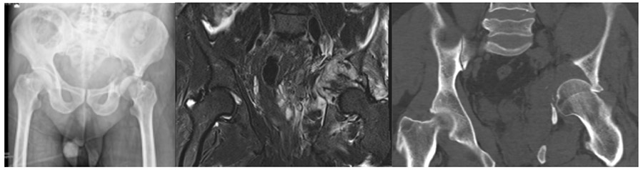
CASE 22: Thyroid cancer metastasized to the left hip bone (acetabulum), resulting in fractured dislocation.
- Hits: 45

Before the surgery: X-rays, MRIs, and CT scans show damage, a fracture, and a large tumor tissue in the left hip bone.

Postoperative:The X-ray shows reconstruction with a tumor prosthesis after removal of the tumorous bone and soft tissue (internal hemipelvectomy).

