CASE 38: Kidney (renal cell) cancer metastasis to the right thigh bone (femur).
- Hits: 44

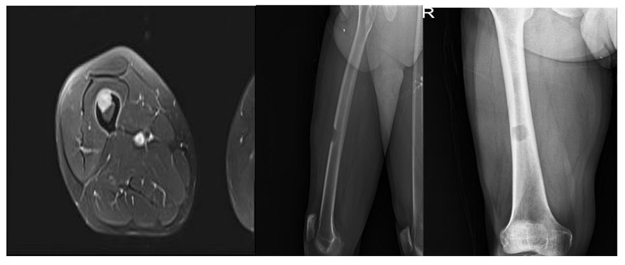
Before the surgery: X-ray and MRI show a focus of lytic metastasis in the middle (diaphysis) section of the right femur, causing destruction in the outer (cortex) portion of the bone.

During the operation: The first image shows the placement of the Gide wire after tumor resection, the second image shows the nail placement, and the third image shows the cement application.

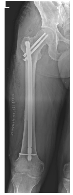
Post-surgery: The image shows bone cement and intramedullary nail placement in the mid-section of the right femur.

