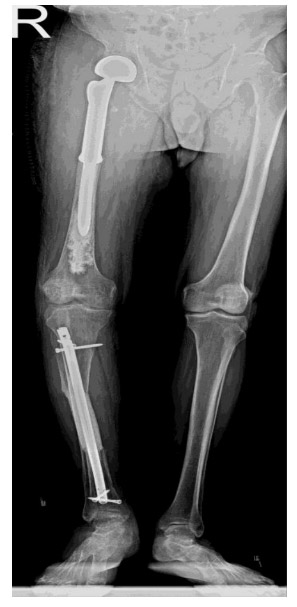
CASE 52: A patient underwent surgery due to the risk of fracture caused by metastasis of thyroid cancer to the right tibia.
- Hits: 51

Before the surgery: X-ray shows material failure in the right proximal femur, CT scan shows recurrence in the right proximal femur, and MRI shows metastatic foci in two locations in the right tibia.

Post-surgery: The X-ray shows a cemented tumor prosthesis applied to the upper end of the right femur, and cementation and closed pinning procedures performed on the tibia.

