CASE 11: Lung cancer metastasis to the pelvic bone (iliac wing).
- Hits: 103

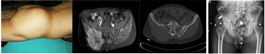
Before the surgery: Clinically, swelling is observed, X-rays show lysis, and MRI and CT scans reveal the presence of metastases, predominantly in the posterior pelvis, causing significant destruction, affecting the sacrum, and accompanied by a large tumor tissue.

Post-Surgery: Bone cement secured with screws in the right sacroiliac joint.

