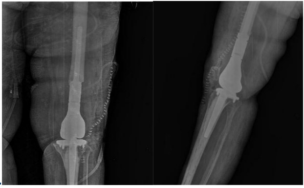
CASE 44: Lung cancer metastasis to the lower end of the left thigh (femur).
- Hits: 47

Before the surgery: X-ray and CT scans show metastatic lesions and significant damage; MRI reveals tumor tissue filling the lower part of the femur and extending beyond the bone, accompanied by surrounding edema.

Post-surgery: The X-ray shows the implantation of a cemented distal femur tumor prosthesis.

