CASE 35: Breast cancer increases the risk of fracture due to metastasis to the thigh bone (femur).
- Hits: 42

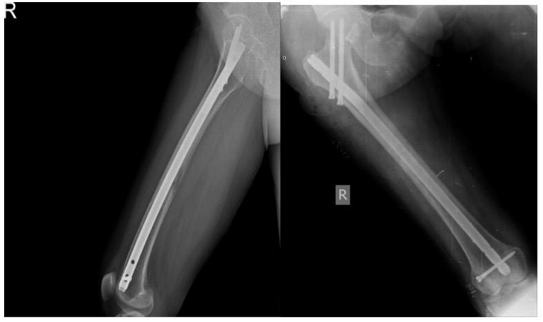
Before the surgery: X-rays and CT scans show lesions (lytic lesions) in the right femur, and MRI reveals widespread metastatic foci and edema.

Post-surgery: The X-ray shows a titanium nail completely filling the inside of the femur.

