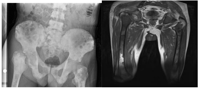
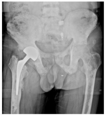
CASE 25: Fracture due to prostate cancer metastasis to the right hip (femoral neck).
- Hits: 41

Before the surgery: X-ray and MRI show a femoral neck fracture and multiple bone metastases.

Post-surgery: The X-ray shows a partial (cemented) hip replacement.

