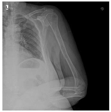
CASE 5: Fracture due to breast cancer metastasis to the left arm (humerus) bone.
- Hits: 39

Before the surgery: A displaced and undisplaced fracture is observed in the mid-region of the left arm (humerus).

Post-surgery: The image shows the application of fixation with an anatomical titanium plate.

