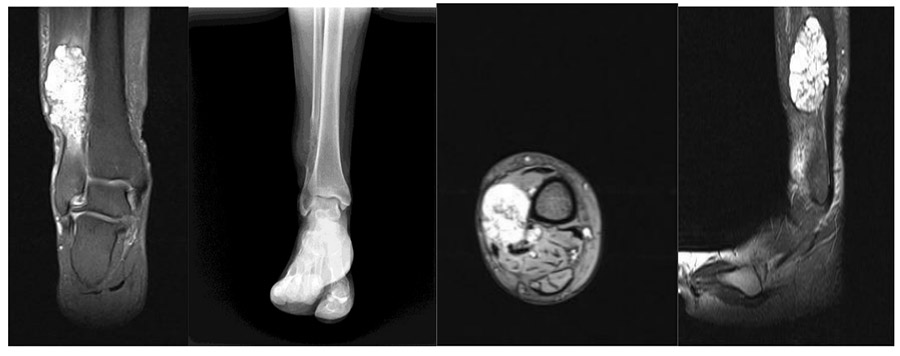
CASE 55: Lung cancer metastasis to the right fibula
- Hits: 24

Before the surgery: X-ray shows a lytic lesion in the distal femur, and MRI shows a large soft tissue component.

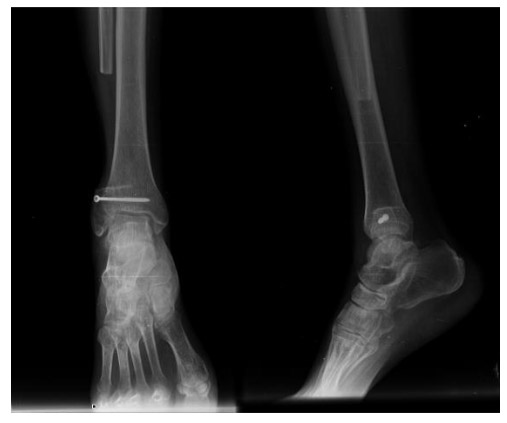
Post-surgery: The X-ray shows distal fibula resection and ankle reinforcement with a screw.

