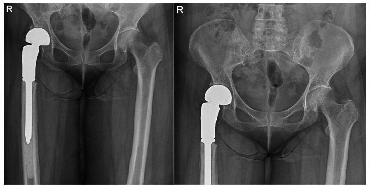
CASE 27: Risk of fracture in the right hip (proximal femur) due to metastasis of renal cell kidney cancer.
- Hits: 42

Before the surgery: MRI shows tumor tissue extending beyond the bone, causing damage to the posterior aspect of the right hip bone, while PET-CT shows involvement and bone destruction in the metastatic area.

Postoperative: The procedure involves removing the tumorous portion of the bone and implanting a cemented tumor prosthesis.

