English, Русский, O‘zbekcha, Türkçe
![]()
![]()
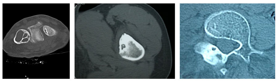
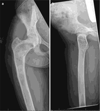
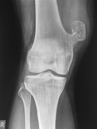
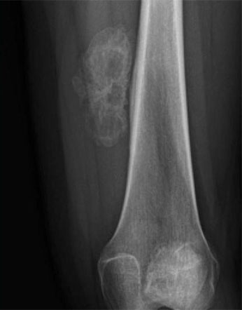
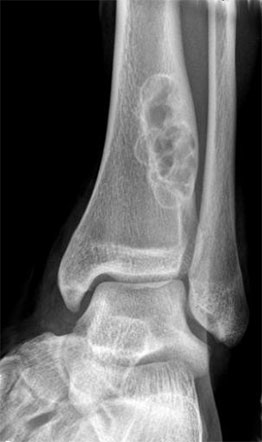
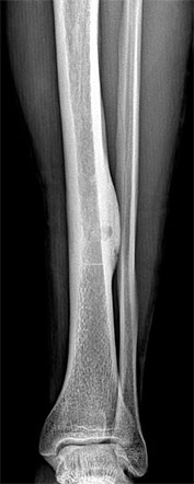
Bone tumors are rare lesions. A large part of these tumors are benign lesions, and they often occur by chance during radiological examinations for another reason. As a complaint, they usually show swelling and pain. Rarely, it is diagnosed after causing a fracture in the place where it was. Osteoid osteoma, osteochondroma (exostosis), enchondroma, non-ossifying fibroma, eosinophilic granuloma, simple bone cyst, fibrous dysplasia and intraosseous lipoma/ganglion are the most common lesions of benign tumors.

Teşvikiye Mah. Hakkı Yeten Cad.
Doğu İş Merkezi , No:15 Kat:7
Şişli, İstanbul
English, Russian, Uzbek, Türkçe
Medical Coordinator
Is there anything I can help you with?.
09.00