CASE 56: Breast cancer increases the risk of fracture due to metastasis to the heel bone (calcaneus).
- Hits: 30

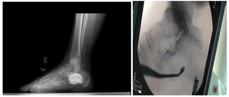
Before the surgery: The X-ray shows degeneration in the right heel bone, and the MRI shows tumor tissue in the same area.

During and after surgery: The fluoroscopy shows the removal of the tumor with the help of a curette, and the filling of the resulting cavity with bone cement, as seen in the X-ray.

