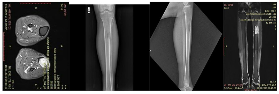
CASE 51: Lung cancer metastasis to the upper end of the left tibia increases the risk of fracture (impeding fracture).
- Hits: 35

Before the surgery: X-rays and MRIs show a metastatic focus in the upper end of the tibia, damaging the outer part of the bone and posing a risk of fracture.

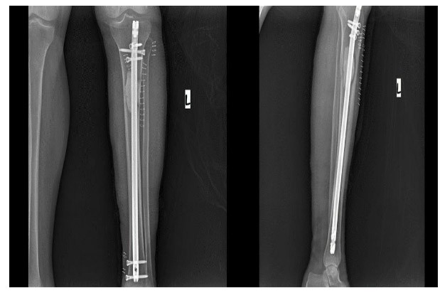
Post-surgery: The X-ray shows the tumor being removed, the resulting cavity being filled with bone cement, and a closed titanium nail being implanted.

