CASE 39: Hemangiopericytoma metastasis to the femur (thigh bone) increases the risk of fracture.
- Hits: 67

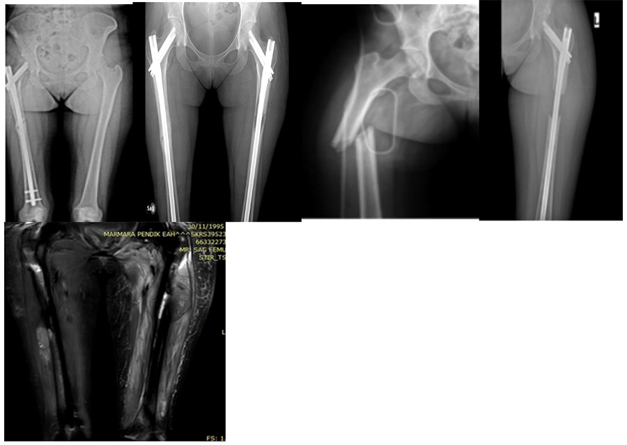
Before surgery: X-ray shows initial fracture in the right femur, right femur nail placement, risk of fracture in the left femur, recurrence in the left femur, and MRI shows a soft tissue recurrence component.

During and after surgery: The clinical and fluoroscopy images of the removed tumor and fractured upper femur, as well as the cemented tumor prosthesis implanted in place of the removed upper femur, are shown.

