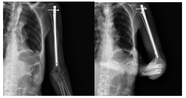
CASE 6: Lung cancer metastasis to the left arm bone (humerus) leading to a fracture.
- Hits: 45

Before the surgery: X-ray shows a displaced fracture in the middle of the left humerus, and MRI shows a metastatic focus filling the middle portion of the humerus and also involving the upper portion.

Post-surgery: The X-ray shows an intramedullary nail within the left humerus bone.

