CASE 13: Cervical cancer metastasis to the left pelvic bone (sacroiliac joint)
- Hits: 41

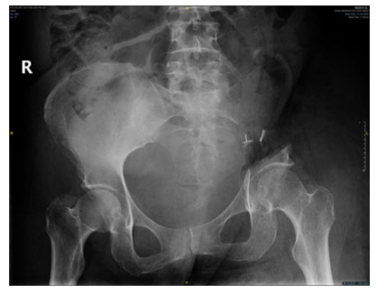
Before surgery: X-ray shows no significant image in the left ureter except for a catheter, while MRI reveals a large soft tissue mass at the level of the left sacroiliac joint with irregular borders, a gas shadow, and displacing the bladder.

Post-surgery: The X-ray shows a sacroiliac resection.

