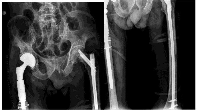
CASE 28: Lung cancer increases the risk of fractures due to metastasis to both femur (thigh bone).
- Hits: 61

Before the surgery: X-rays and MRIs show metastatic foci in both femur bones that are causing destruction and posing a risk of fracture.

Post-surgery: The X-ray shows a tumor prosthesis placed in the upper part of the right thigh and a nail inserted into the left femur.

