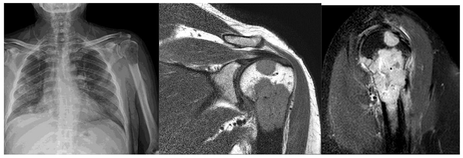
CASE 2: Kidney (renal cell) cancer metastasizes to the humerus bone.
- Hits: 66

Before the surgery: The X-ray shows bone destruction at the superior end of the humerus, and the MRI shows the tumor extending outside the bone.

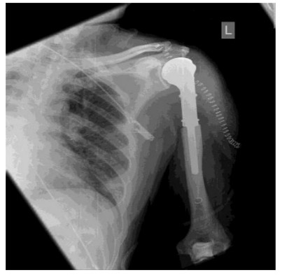
Post-surgery: The procedure involves removing the tumorous portion of the bone and implanting a prosthesis.

