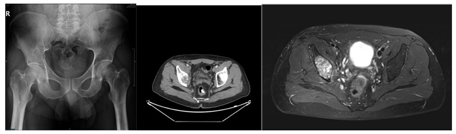
CASE 20: Bladder cancer increases the risk of fracture in the right hip (acetabulum) due to metastasis.
- Hits: 50

Before the surgery: X-ray shows a metastatic focus in the right acetabulum, and MRI and CT scans show damage.

Postoperative: The X-ray shows that after the metastatic focus was removed, the resulting cavity was filled with bone cement and reinforced with two titanium plates (Simultaneous closed cementation/vertebroplasty procedure was performed on the L5 vertebra).

