CASE 21: Risk of fracture due to metastasis of bladder cancer to the right pelvic bone (iliac wing).
- Hits: 48

Before the surgery: X-rays and MRIs show damage to the right pelvic bone and a large tumor tissue that has spread beyond the bone.

During the operation: The image shows the wound being closed after the pelvic bone was removed.

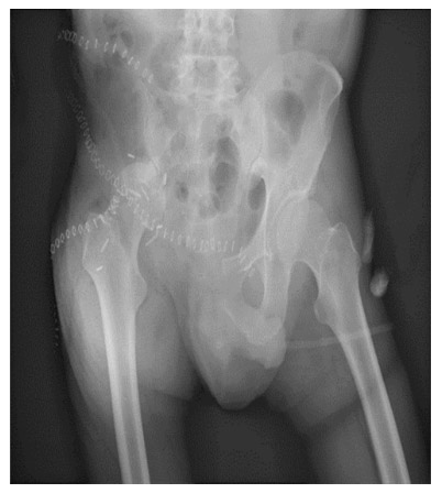
Post-surgery: The X-ray shows that the right side of the pelvis has been removed (internal hemipelvectomy).

