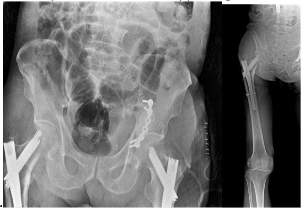
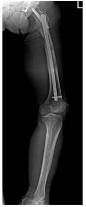
CASE 32: Lung cancer increases the risk of fractures due to metastasis to the left hip (acetabulum) and both thigh bones.
- Hits: 59

Before the surgery: The X-ray shows damage caused by metastasis in the upper region of the left hip joint and the upper parts of both femur bones.


Post-surgery: X-ray shows bone cement and titanium plate in the left acetabulum, and fixation with nails in both thighs.

