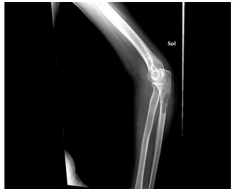
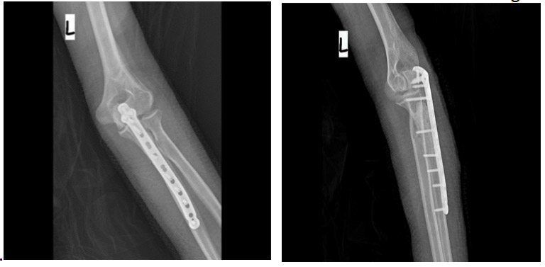
CASE 10: Risk of fracture due to metastasis of renal cell kidney cancer to the right proximal ulna.
- Hits: 65

Before surgery: X-ray shows damage and risk of fracture in the proximal ulna.

During the operation: The procedure involves tumor removal, fixation with a titanium plate, and reinforcement of the resulting cavity with bone cement.

Post-surgery: The X-ray shows that after removing the tumor from the bone, the resulting cavity is filled with bone cement and reinforced with an anatomical titanium plate.

