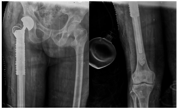
CASE 31: Thyroid cancer increases the risk of fracture in the right thigh (femur) bone due to metastasis.
- Hits: 42

Before the surgery: X-ray shows lytic lesions in the right proximal femur. MRI reveals severe destruction of the bone cortex, tumor extension beyond the bone, and widespread edema.

Post-Surgery: The X-ray shows the tumor prosthesis that was implanted after the upper part of the femur was removed.

