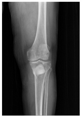
CASE 47: Cervical cancer metastasis to the upper end of the left tibia.
- Hits: 30

Before the surgery: X-ray and CT scans show necrosis in the anterior portion of the upper end of the tibia, while MRI shows tumor tissue and surrounding edema in the same area.

Postoperative: The image shows the tumor being removed and then filled with bone cement.

