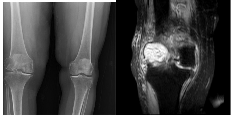
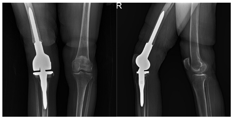
CASE 45: Pathological fracture due to knee (distal femur) metastasis of kidney (renal cell) cancer.
- Hits: 39

Before the surgery: X-ray shows a lytic lesion and fracture in the lateral aspect of the right distal femur, and MRI shows tumor tissue and widespread edema.

Post-surgery: The X-ray shows a distal femur tumor prosthesis implanted after resection.

