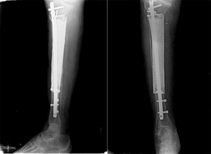
CASE 53: Malignant Melanoma metastasis to the tibia (shin bone).
- Hits: 80

Before the surgery: X-ray and MRI show damage to the middle region of the right tibia due to metastasis and surrounding edema.

During the operation: Treatment options include removal of the tumorous portion of the bone, and application of nails, mesh, cement, and muscle flaps.

Post-surgery: The X-ray shows that the tumorous portion of the bone was removed, the resulting cavity was filled with titanium mesh and bone cement, and titanium nails were applied.

