CASE 37: Recurrence (relapse) of breast cancer following fracture due to metastasis to the left thigh bone (femur).
- Hits: 65

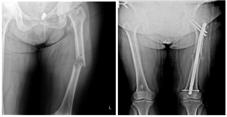
Before and after surgery: The X-ray shows a destructive and displaced fracture in the mid-section of the left femur, with fixation of the fracture in the correct position using a nail.

Follow-up: The X-ray shows bone healing after closed pinning due to a fracture. However, there is necrosis at the lower end. The MRI shows tumor tissue filling the lower end of the femur and extending beyond the bone.

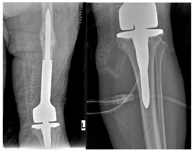
Post-surgery: The X-ray shows the placement of a distal femur tumor prosthesis after the nail inside the bone and the tumorous portion at the lower end of the bone were removed.

