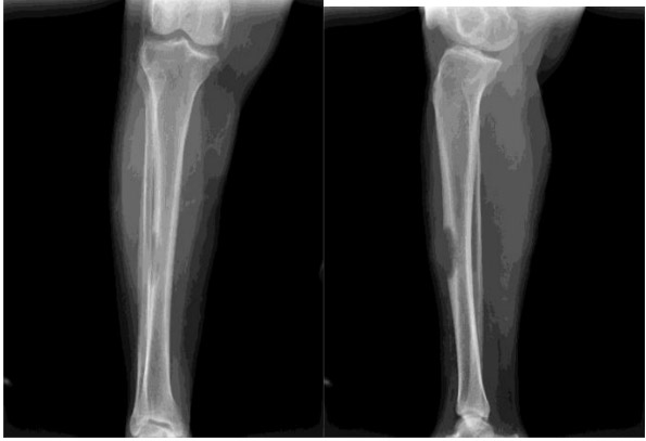
CASE 54: Risk of fracture due to metastasis of tibia (shinbone) from uterine (endometrial) cancer.
- Hits: 27

Before the surgery: X-ray shows a risk of fracture due to damage and destruction in the middle portion of the tibia.

During the operation: Removal of the tumorous part of the bone

Post-surgery: Application of cemented tumor prosthesis to replace the removed tumor bone

