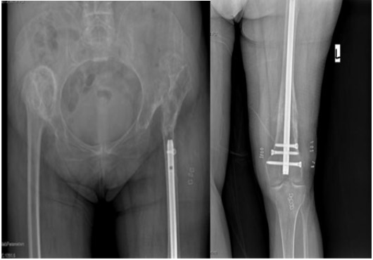
CASE 41: Lung cancer increases the risk of fracture in the left thigh bone (femur) due to metastasis.
- Hits: 33

Before the surgery: X-rays show osteoarthritis on a base of high dislocation in both hips and failure of the distal end of the left femur; MRI shows edema surrounding a metastatic focus in the same location.

Post-surgery: A nail placement is visible in the left femur.

