CASE 34: Risk of hip fracture and femoral fracture due to breast cancer metastasis.
- Hits: 40

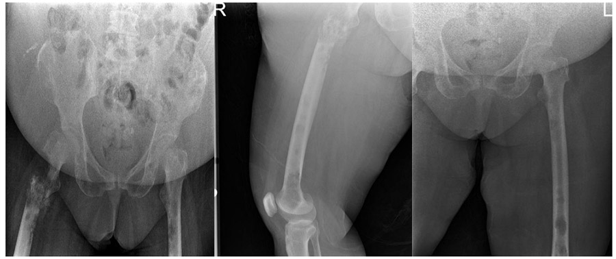
Before the surgery: X-rays show widespread bone metastases in the pelvis and both femurs, and destruction and fracture of the upper end of the right femur.

Postoperative: The X-ray shows open cleaning and cementation of the upper end of the right femur, followed by closed nailing of both femurs and an anatomical plate applied to the lower end of the right femur.

